Article
Hypoéchogène : Définition et principe
Chaque organe réfléchit les ultrasons avec une intensité différente. C’est ce principe qui permet à l’échographie de créer des contrastes visibles à l’écran. Lorsqu’une zone apparaît plus sombre sur l’image, on parle alors d’une zone hypoéchogène.
Comment se définit une structure hypoéchogène ?
Une structure hypoéchogène réfléchit moins les ultrasons que les tissus environnants. Ce phénomène est dû à la composition du tissu. Lorsqu’il contient beaucoup d’eau ou de liquide, il renvoie peu d’échos vers la sonde échographique.
L’image qui apparaît sur l’écran présente alors des zones plus sombres, allant du gris foncé au noir selon le degré d’hypoéchogénicité. Cette différence de contraste aide le praticien à localiser et délimiter la lésion lors de l’examen échographique.
Quelles sont les causes possibles d'une hypoéchogénicité ?
- L’accumulation de liquide constitue la première cause d’hypoéchogénicité. Les kystes simples, remplis de liquide séreux, absorbent une grande partie des ultrasons au lieu de les réfléchir. Cette absorption crée l’aspect sombre caractéristique des collections liquidiennes ;
- L’inflammation aiguë modifie également l’échogénicité des tissus. L’œdème inflammatoire augmente la teneur en eau des cellules, ce qui diminue leur capacité à renvoyer les échos. Un ganglion inflammatoire présente ainsi une échogénicité réduite comparée à un ganglion normal ;
- Les tumeurs peuvent montrer une hypoéchogénicité variable selon leur composition. Les tumeurs riches en cellules, avec peu de tissu conjonctif, tendent vers une échogénicité diminuée. Cette particularité concerne autant les lésions bénignes que malignes, d’où l’importance du contexte clinique ;
- La nécrose tissulaire produit des zones hypoéchogènes par destruction de l’architecture cellulaire normale. Les tissus nécrosés perdent leur densité habituelle.
Comment interpréter une image hypoéchogène en échographie ?
L’interprétation d’une zone hypoéchogène dépend de plusieurs paramètres que le médecin analyse conjointement :
- Contexte anatomique : une structure hypoéchogène dans le foie diffère d’un nodule thyroïdien ou d’une lésion mammaire ;
- Morphologie échographique : les contours réguliers orientent vers une pathologie bénigne, contrairement aux bords irréguliers qui suggèrent un processus malin ;
- Vascularisation Doppler : l’hypervascularisation modifie l’interprétation diagnostique, particulièrement pour les nodules thyroïdiens suspects ;
- Données cliniques : l’image échographique seule ne suffit jamais au diagnostic, elle nécessite une corrélation avec l’examen du patient.
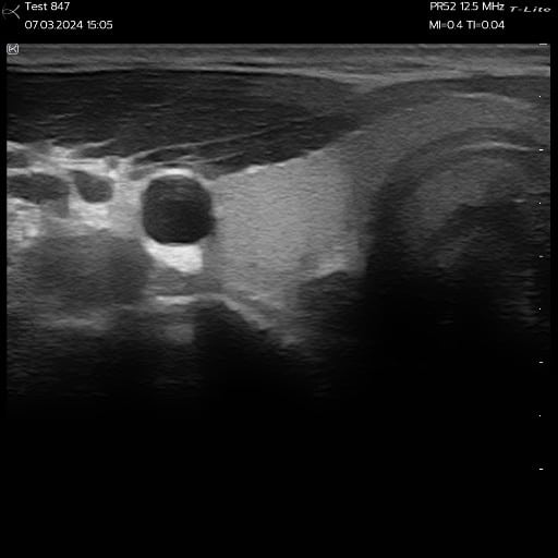
Nodules thyroïdiens observés avec un échographe ultraportable Sonoscanner
Un échographe portable peut faciliter ces examens en consultation. Il s’agit d’un dispositif qui permet d’obtenir des images de bonne qualité sans avoir à déplacer le patient. Il est surtout apprécié par les médecins et les praticiens qui travaillent en service d’urgence, en soins à domicile ou en unité mobile.
Quelques situations cliniques où l’on observe une hypoéchogénicité
Les kystes simples sont l’exemple type de structures hypoéchogènes. Ils peuvent se situer dans le foie, les reins ou les ovaires. Ces kystes contiennent un liquide homogène qui apparaît en gris foncé ou noir à l’échographie. Leur paroi fine et leurs contours nets permettent de les distinguer des lésions solides.
Certains nodules thyroïdiens présentent également une hypoéchogénicité. Ce phénomène peut se retrouver aussi bien dans les adénomes bénins que dans les carcinomes. Le score TI-RADS prend en compte l’hypoéchogénicité comme critère de suspicion, sans que ce signe soit spécifique de malignité.
Des lésions hypoéchogènes peuvent aussi être observées au niveau du sein. Elles regroupent des pathologies variées. Par exemple, les fibroadénomes jeunes ou certains carcinomes infiltrants peuvent présenter cette échogénicité. L’échographie mammaire complète la mammographie, mais ne la remplace pas dans le dépistage du cancer du sein.
Les ganglions lymphatiques inflammatoires deviennent hypoéchogènes en raison de l’œdème tissulaire. Cette modification s’accompagne souvent d’une augmentation de taille et d’une perte de l’architecture normale du ganglion. L’examen clinique et l’anamnèse permettent d’orienter vers une origine infectieuse ou inflammatoire.
Dans la prostate, une zone à faible résonance échographique peut signaler une région suspecte lors du dépistage du cancer. Toutefois, de nombreuses lésions bénignes peuvent également apparaître sombres à l’échographie.
DÉCOUVREZ Les ÉCHOGRAPHEs SONOSCANNER
Echographe de poche
U-Lite PRO
- Ecran tactile HD 7″ LED
- Qualité d’images Rétina+
- Fonctionnalités IA
- 600 grammes
- 4h d’autonomie
- Tous les Doppler dont continu et transcrânien
- Démarrage immédiat
- 11 sondes disponibles
- Espace Cloud et rapports automatiques
Echographe ultraportable T-Lite PRO
- Ecran tactile HD 10″ LED
- Qualité d’images Rétina+
- Fonctionnalités IA
- 1 Kg
- 3h d’autonomie
- Tous les Doppler dont continu et transcrânien
- Démarrage immédiat
- 11 sondes disponibles
- Espace Cloud et rapports automatiques
Echographe Portable
Ondina
- Ecran Full HD 15″
- Qualité d’images Rétina+
- Fonctionnalités IA
- Usage hybride : tactile et clavier
- Démarrage rapide : 20 secondes
- Options Panoramique, élastographie et 3D/4D
- 8 sondes disponibles
- Rapports automatiques
