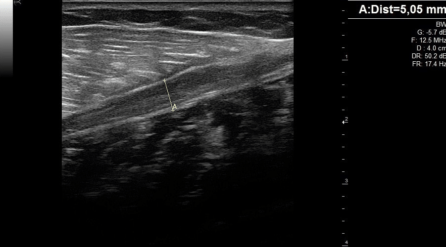
L’échographie en médecine du sport apporte de nombreux avantages à votre pratique quotidienne. L’échographie permet l’évaluation en en temps réel de nombreuses pathologies : lésions musculaires, tendinopathies, pathologies ligamentaires, inflammation des tissus mous, microfractures… L’examen des clichés permet ensuite une prise en charge approfondie du patient un suivi poussé de la guérison.
L’aide à la ponction avec le guide sous échographie de l’aiguille améliore la qualité des soins. Par l’aide à la ponction sous échographie avec le guide aiguille améliore la qualité des soins. Vous profitez d’une aide à la ponction grâce aux guides aiguilles qui améliorent la qualité des soins.











